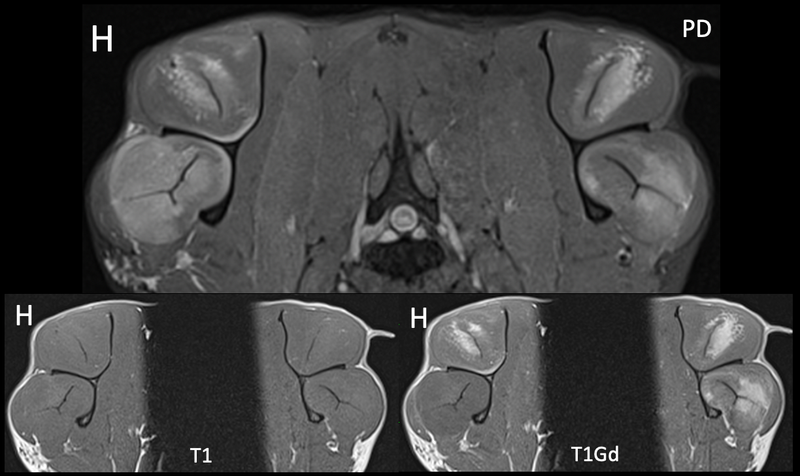
Endelig er vi i gang med kasus igjen, og vi starter høstsesongen med denne godbiten som ble sendt inn til oss fra AniCura Jeløy Dyresykehus. Ha gjerne denne i bakhodet hvis det kommer inn jakthunder eller andre veldig aktive hunder med halthet fra skulder i høst! Signalement: Engelsk setter, Hannhund, 3 år Anamnese: Akutt halt høyre frambein etter jakt Kliniske funn: 4-5/5 grader halt høyre frambein, smerte ved fleksjon av skulder. Ikke medial instabilitet. Mediolaterale og craniocaudale røntgenbilder av begge skuldre er uten unormale funn.




