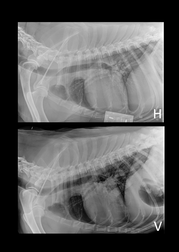
Denne gangen har vi lyst til å dele et kasus som vi syns er ganske interessant. Studien ble sendt inn til oss fra Dyrlegene i Skolestua, og sammen kom vi frem til en diagnose som kan forklare hundens problemer. Signalement: Pyreneerhund, tispe, 9år Anamnese: Eier syns hunden har blitt i dårligere form over tid, den bruker lang tid på å spise, tiltagende hosting. Eier har sau, så hunden jobber som vokterhund. Etter anstrengelse bruker hunden lang tid på restitusjon, peser lenge.
Signalement: Dachs, tispe, 11 år Anamnese: Mistanke magedreining
Signalement: Portugisisk vannhund, tispe, 2 år. Anamnese: Oppkast i 2 dager, stort sett uproduktive brekninger siste døgnet. Ingen matlyst eller avføring i disse dagene. Hadde mageproblemer for 2 uker siden, trolig fått i seg pinnekjøtt da. Nedstemt ved ankomst klinikk. Ingen informasjon om siste løpetid.
Signalement: Golden retriever, hannhund, 9år. Anamnese: Kom løpende ute og bommet på en trapp opp til en veranda. Hylte til og var akutt 5/5 grader halt på høyre bakbein. Redusert til 3-4/5 ila 30 min. Fått NSAIDs og holdt i ro. Kliniske funn: 2/5 grader halt i skritt, får NSAIDs. Mild til moderat fylning i høyre kneledd. Mild positiv “tibial thrust” på flektert kne, får ikke frem på ekstendert kne.



















