Veterinærradiologene AS
Hjem
TELEradiologi for alle
LTV-Screening
LTV-Screening
Kasus
VISSTE DU AT?
VÅRE TJENESTER
OSS
Kontakt
Veterinærradiologene AS
Hjem
TELEradiologi for alle
LTV-Screening
LTV-Screening
Kasus
VISSTE DU AT?
VÅRE TJENESTER
OSS
Kontakt
Hjem
LTV-Screening
Gradering LTV
Gradering LTV
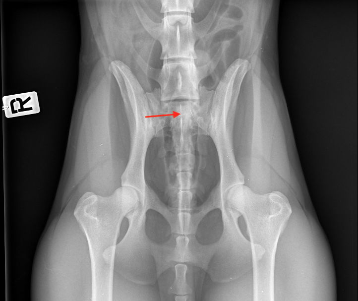
Gradering LTV røntgen
LTV1
Delt ´sacral crest´
LTV2
Symmetrisk lumbosakral overgangsvirvel
LTV3
Asymmetrisk lumbosakral overgangsvirvel